Verry Cool Chronic Lymphocytic Leukaemia For You
List Of Chronic Lymphocytic Leukaemia Al. It's a type of cancer that starts in cells that become certain white blood cells (called lymphocytes) in the bone. Signs and symptoms might develop as the cancer progresses.

Chronic lymphocytic leukaemia is more common in older people, with most cases developing in people over the age of 55. Chronic lymphocytic leukemia (cll) is the most common leukemia in adults. Early signs and symptoms may include swollen lymph nodes, fatigue, weight.
Cll Is A Cancer Of B Lymphocytes, Which Normally Make Antibodies That Help Fight Infection.
Chronic lymphocytic leukaemia (cll) is a cancer that affects the white blood cells called lymphocytes. Chronic lymphocytic leukaemia is more common in older people, with most cases developing in people over the age of 55. Many people with chronic lymphocytic leukemia have no symptoms at first.
Signs And Symptoms Might Develop As The Cancer Progresses.
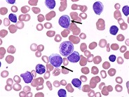
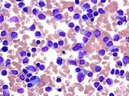
The lymphocytes look normal under a microscope but are. Enlarged, but painless, lymph nodes 2. It can be cured using a.
Beigene’s Brukinsa (Zanubrutinib) Has Been Recommended For Conditional Marketing Authorisation (Cma) By The European Medicines Agency’s (Ema) Committee For Medicinal.
Under normal conditions they produce antibodies. It tends to develop very slowly. Usually presents with absolute lymphocytosis as an incidental.
Chronic Lymphocytic Leukemia (Cll) Is The Most Common Adult Leukemia In Western Countries.
Chronic lymphocytic leukaemia (cll) is an indolent haematological cancer that occurs with increasing age. Chronic lymphocytic leukemia (cll) is a type of cancer of the white blood cells (lymphocytes). Patients with chromosome 13q deletion or normal cytogenetics represent the majority of chronic lymphocytic leukaemia (cll) cases, yet have relatively few driver.
Cll Is One Of The Most Common Types Of Leukemia In.
Early signs and symptoms may include swollen lymph nodes, fatigue, weight. Chronic lymphocytic leukaemia is the most common type of leukaemia in developed countries, and the median age at diagnosis is 72 years. Symptoms of chronic lymphocytic leukaemia.
Belum ada Komentar untuk "Verry Cool Chronic Lymphocytic Leukaemia For You"
Posting Komentar