Review Of Types Of Acute Lymphoblastic Leukemia New Ideas
Awasome Types Of Acute Lymphoblastic Leukemia Less. B cell all can be. Acute lymphocytic leukemia, acute lymphoid leukemia:

There are two main subtypes of all, based on the type of lymphocyte—b cells or t cells—that is affected by the disease. Almost 85% of cases of all begin from b cells (also called b lymphocytes) and 15% begin from t cells (also called t lymphocytes). [article in japanese] author noriko usui.
B Cell All Can Be.
It may develop in children or adults. It affects the b cell lymphocytes. Starts in immature cells that ordinarily develop into b.
The World Health Organization Classifies Acute Lymphoblastic Leukemia Into Two Main Groups:
Leukemias are classified depending on the type of blood cells affected and how rapidly the disease. Acute lymphoblastic leukemia (all) is a type of cancer in which the bone marrow makes too many lymphocytes (a type of white blood cell). Based on immunophenotyping of the leukemia cell, the world health organization (who) classifies all into two main subtypes.
Acute Lymphoblastic Leukaemia Is Different To Other Types Of Leukaemia, Including Acute Myeloid Leukaemia , Chronic Lymphocytic Leukaemia And Chronic Myeloid Leukaemia.
There are two main subtypes of all, based on the type of lymphocyte—b cells or t cells—that is affected by the disease. Almost 85% of cases of all begin from b cells (also called b lymphocytes) and 15% begin from t cells (also called t lymphocytes). [acute lymphoblastic leukemia and chronic lymphocytic leukemia in adults] rinsho ketsueki.
Feeling Tired, Pale Color, Fever, Easy Bleeding Or Bruising, Bone Pain, Enlarged Lymph Nodes:
Acute lymphocytic leukemia (all) is a type of cancer that affects your blood and bone marrow. Different types of acute lymphocytic leukemia or acute lymphoblastic leukemia (all) start from different types of lymphocytes. World health organization classification system
Acute Lymphocytic Leukemia, Acute Lymphoid Leukemia:
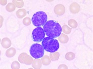
The large purple cells are lymphoblasts. The types and subgroups of all include: [article in japanese] author noriko usui.
Belum ada Komentar untuk "Review Of Types Of Acute Lymphoblastic Leukemia New Ideas"
Posting Komentar